Одна из ведущих
клиник в Москве

Участвуйте в розыгрыше и получите протезирование зубов на имплантах в Москве и Московской области

Имплантация Neodent Straumann по методике всё на 4-х имплантах или на 6-ти имплантах одной челюсти с гарантией на установку
Кому подойдет?
У кого пародонтит, подвижность зубов и кому сказали удалять все зубы
У кого отсутствуют все зубы на верхней или на нижней челюсти
У кого большая часть зубов отсутствуют
Кому надоело носить съемный протез
Акция действует до 20 марта 2026
Без учета стоимость лечения составляет
от 220 000 руб. по прайсу
Гармаев Булат Вячеславович
главный врач, хирург-имплантолог
стаж более 10 лет
Несколько уникальных
методик установки
Без боли до, во время и после операции
Быстрая установка возможна за 3 дня
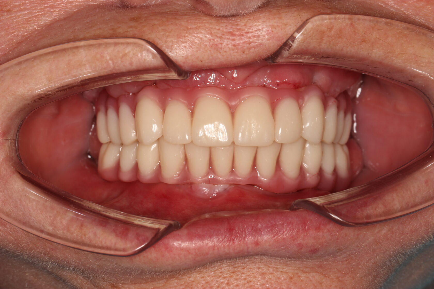
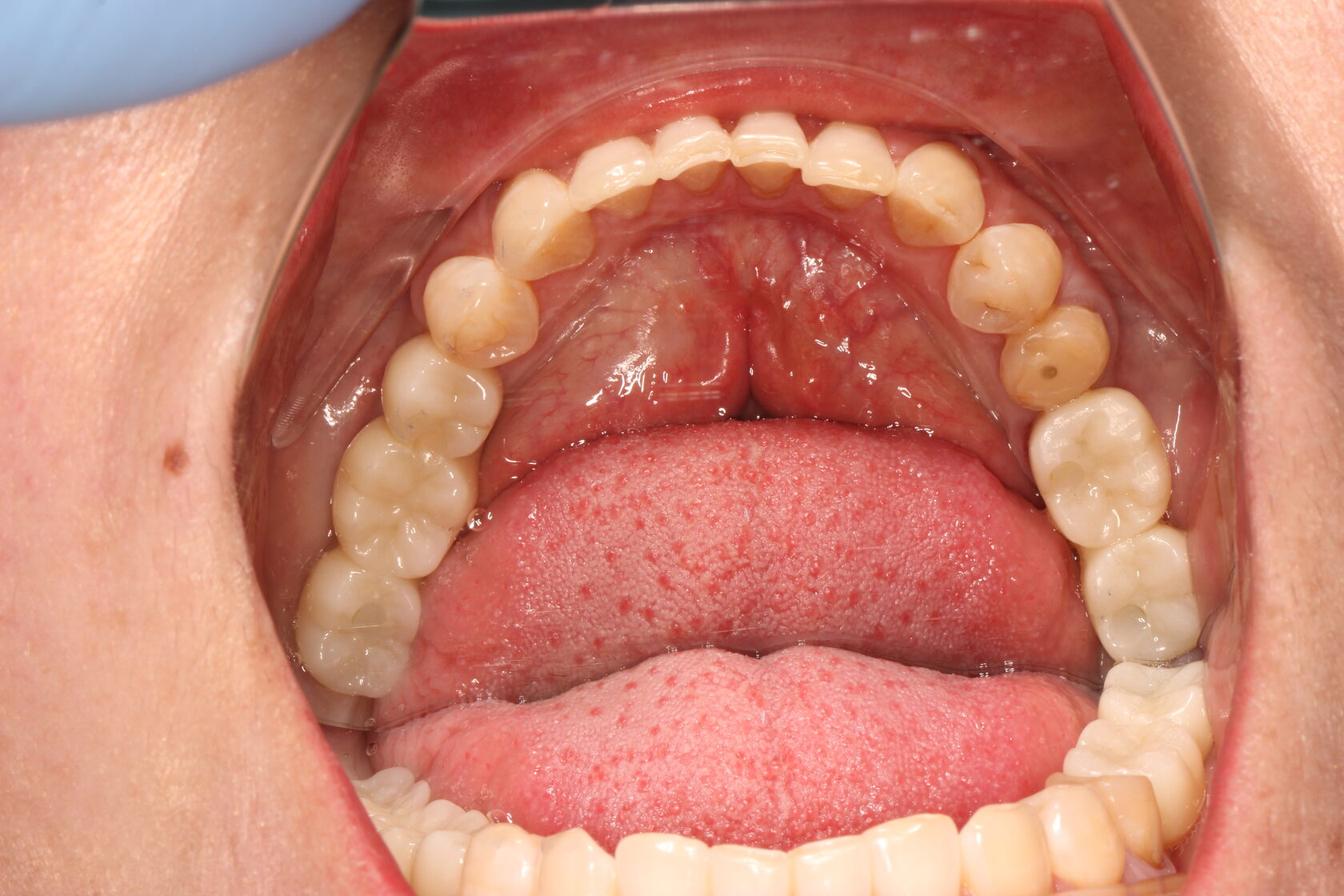
Протезирование на имплантах при полном отсутствии зубов
Самый современный и экономичный способ восстановить все зубы — протезирование на четырёх или шести имплантах с немедленной нагрузкой протезом.
Метод All-on-4 (Всё на 4 имплантах)
Метод All-on-4 предполагает установку имплантов парами: одна пара располагается параллельно друг другу, а вторая — под углом 30–45 градусов. Благодаря такому угловому расположению можно избежать костной пластики. С All-on-4 пациент получает новые зубы уже через 3–5 дней. Этот метод экономит время, не требует наращивания костной ткани и подходит для людей любого возраста. Конструкция учитывает анатомические особенности, что обеспечивает почти 100%-ю приживаемость имплантов.
Необходимо предварительная консультация со специалистом
Метод All-on-6 (Всё на 6 имплантах)
Это модификация метода All-on-4, при котором в челюсть устанавливают два дополнительных импланта по бокам. Дополнительные импланты увеличивают срок службы протеза до более чем 20 лет и создают лучшие условия для пережёвывания твёрдой пищи. Процедуру обычно выбирают, если пациенту требуется восстановить семёрки для полноценного пережёвывания пищи.
Необходимо предварительная консультация со специалистом

03

ЭТАП

Установка
протезов

После хирургического этапа лечения в течении 3-5 дней проводится винтовая фиксация протеза.
Результат красивая улыбка и импланты которые Вы не ощущаете, удобный протез не отличимый от ваших зубов.

02

Этап

Установка
имплантатов

Проводится установка имплантов под нужным углом, в обход гайморовых пазух или нижнечелюстных нервов.
Любые риски исключены так как мы заранее составляем прогноз хирургического лечения.

01

Этап
- Изучаем клиническую историю пациента
- Оцениваем состояние ротовой полости, зубов, десен и костной ткани
- Проводим глубокое рентген-кт-обследование и диагностику
- Анализ крови и ЭКГ
- Составление плана лечения

Комплексное обследование, диагностика и составление плана лечения

Этапы протезирования
Количество этапов, и их продолжительность зависят от типа операции и вида протезирования индивидуально для каждого пациента.
Обо мне
Моя миссия — помочь пациенту быть здоровым
Меня зовут Гармаев Булат Вячеславович
Я челюстно-лицевой хирург, хирург-имплантолог. Стаж работы более 10 лет.
Со студенческих лет мечтал помочь безвозмездно людям обрести здоровую и красивую улыбку, но не было возможности это сделать. Я открыл клинику и теперь у меня есть возможность осуществить свою мечту.
Для этого я даю Вам возможность воспользоваться этим шансом приобрести здоровую и красивую улыбку. Оставляйте заявку мы обязательно с Вами свяжемся и запишем на бесплатную консультацию.
Гармаев Булат Вячеславович — главный врач челюстно-лицевой хирург, хирург стоматолог, имплантолог стоматологии «Dental City Group». Окончил Омскую государственную Медицинскую Академию.
  • Комплексная диагностика и лечение зубочелюстных аномалий и деформаций
  • Имплантация на системах Straumann, Nobel, Dentium, Neodent, Medentica, Osstem
  • Пластические операции на мягких тканях в области зубов и имплантов
  • Мастер немедленной нагрузки
  • Удаление зубов любой сложности
  • Открытый и закрытый синус-лифтинг
  • Костная пластика
  • Имплантация по протоколам All-on-4 и All-on-6
Ключевые навыки
Акция действует до 20 марта 2026
Имплантация Neodent Straumann по методике всё на 4-х имплантах или на 6-ти имплантах одной челюсти с гарантией на установку
Без учета стоимость лечения составляет
от 220 000 руб. по прайсу
Участвуйте в розыгрыше
и получите протезирование зубов на имплантах в Москве
Необходима предварительная консультация со специалистом
Имплантацию проводят врачи со стажем более 10 лет

Наши врачи

Стаж работы более 10 лет.
Заведующий Врач стоматолог-терапевт ортопед.
Ширеторов Эдуард Бадмажапович
Стаж работы более 10 лет.
Сундуев Жаргал Очирович
Врач стоматолог-терапевт ортопед
Стаж работы более 10 лет.
Врач стоматолог-ортодонт
Сундуева Баирма Жаргаловна
Стаж работы более 10 лет.
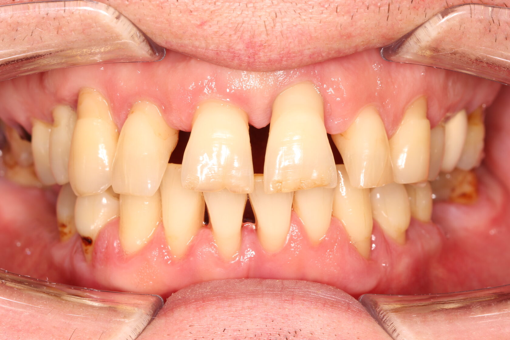
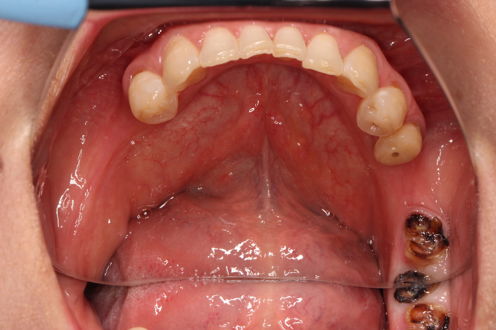
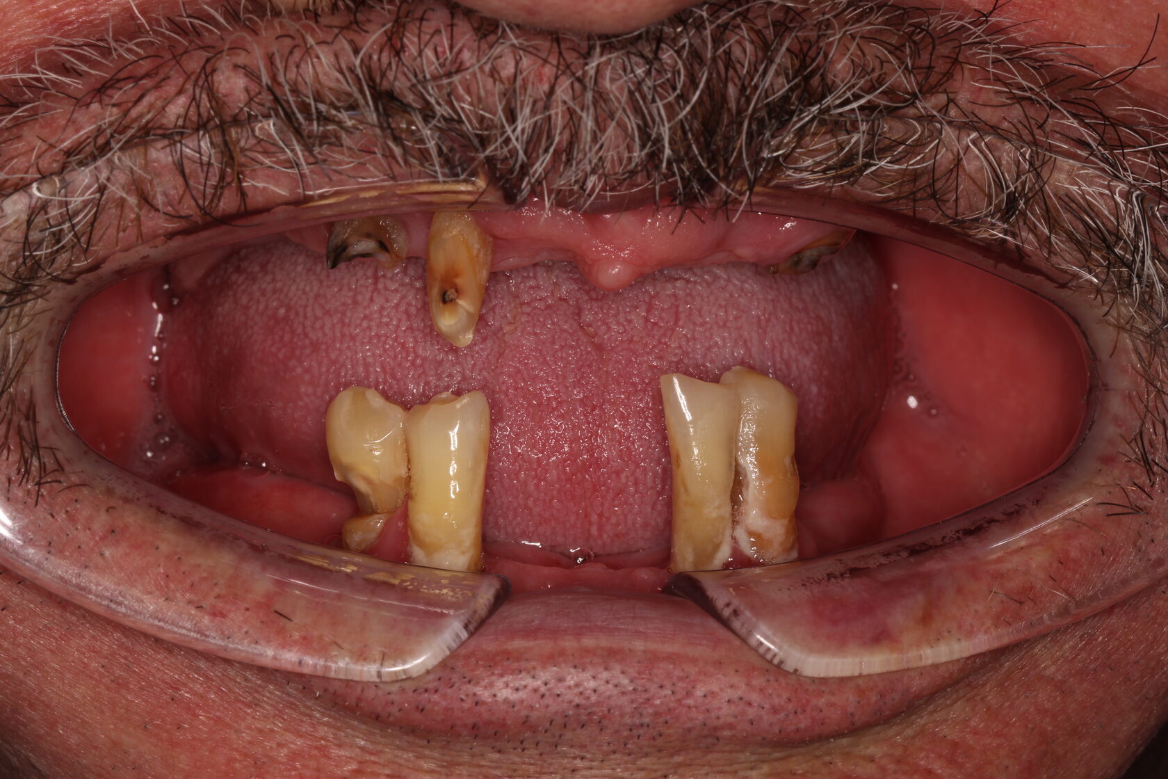
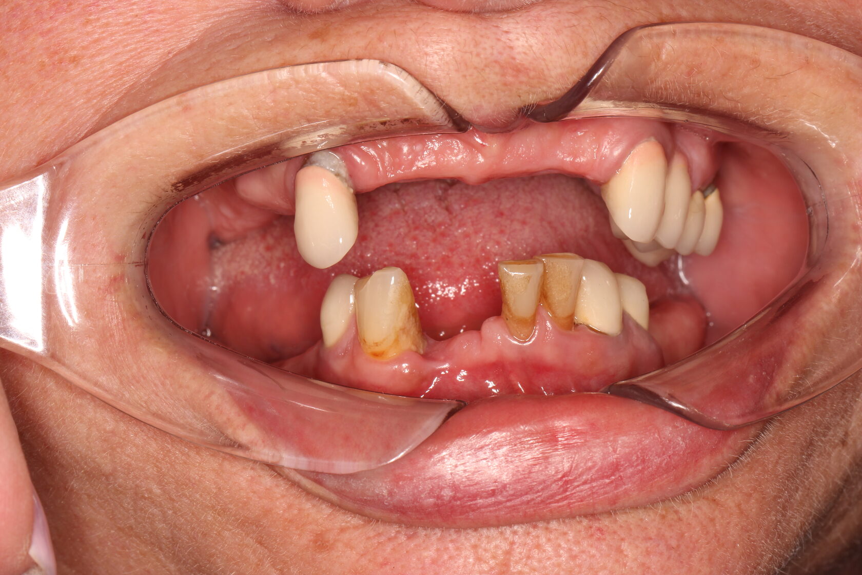
Улыбки наших довольных клиентов говорят сами за себя

Наши работы до и после лечения

Некоторые отзывы наших клиентов

Отзывы

Хочется выразить огромную благодарность врачам клиники Булату Вячеславовичу и Эдуарду Бадмажаповичу! Проходила лечение в вашей клинике и делала комплексную имплантацию с временным металлоакриловым протезом. Врачи не только профессионалы своего дела и я очень довольна результатом, очень чуткое отношение! Доброжелательный, интеллигентный подход! Очень аккуратно и безболезненно! Большое спасибо за ваш профессионализм и огромных успехов вашей замечательной клинике! Альфия Вагизовна
В этой клинике мне имплантировали зуб. Со мной работали специалисты Эдуард Бадмажапович Ширеторов и Булат Вячеславович Гармаев. Хочется отметить высокое качество выполненных работ и внимательное и доброжелательное отношение врачей и других работников клиники к пациентам. Буду рекомендовать клинику и врачей Э.Б. Ширеторова и Б.В. Гармаева своим знакомым. Минусов нет
Недавно мне сделали имплантацию зубов и поставили несъемный протез. До имплантации была проведена дополнительная работа, а это: профессиональная гигиена, вылечили кариесы, сделали накладки. От всей души благодарю врачей Гармаева Булата Вячеславовича, Сундуева Жаргала Очировича, также ассистентов врачей Хадижу, Алину, Маруфа. Дружному слаженному коллективу клиники хочется пожелать дальнейшего процветания и всех земных благ. Буду всем рекомендовать вас.
Булат Вячеславович и Жаргал Очирович, я искренне хочу поблагодарить Вас за проделанную сложную работу по установке имплантов. Вы провели несколько сложных операций, Вы всегда верили , что у меня все будет хорошо, а я доверяла Вам! Моя улыбка благодарит вас, а я вместе с ней ощущаю себя на миллион! Спасибо вам и всей вашей команде за профессионализм и отношение ко мне как к клиенту!
Планировала сделать несъёмный протез на нижнюю челюсть на 6 имплантат. Выбрала эту клинику по совету своих друзей. Результат порадовал! Сделали все качественно! Выражаю огромную благодарность Булату Вячеславовичу и всему коллективу. Все очень доброжелательные, внимательные и настоящие профессионалы своего дела! Буду советовать клинику всем своим знакомым и друзьям!
Я приношу огромную благодарность коллективу клиники Dental city group, благодарность девочкам на ресепшн всегда вежливые и гостеприимные!!! Ассистентам и замечательным докторам,которые настоящие профессионалы своего дела!!!! ОСОБЕННО хочу выразить свою благодарность Булату Вячеславович за его терпение и уважительной приём нас, пожилых людей! У нас у всех характер разный, а его золотые ручки превращают нас в красавиц ❤️
Наталья Полякова
Философия лечения в клинике Dental City Group проста: почувствуйте, что навещаете заботливого друга, а не совершаете рутинный поход к стоматологу.

Мы всегда в поисках самого передового оборудования, эффективных техник и лучших материалов. Мы хотим убедиться, что нашим пациентам понятен план лечения до малейших деталей.

Стоматологическая помощь в нашем понимании - сотрудничество между врачом и пациентом, целью которого является лечение в целом, а не просто облегчение симптомов.
О клинике

Dental City Group

ВИДЕО О НАШЕЙ КЛИНИКЕ
Всегда рады видеть вас в нашей клинике
Мы заботимся не только о здоровье и красоте ваших зубов, но и о вашем комфорте и чувстве безопасности. Вас ждет уютная атмосфера, опытный дружелюбный персонал и ультрасовременное оборудование.

Наш адрес: г. Москва, ул. Дмитрия Ульянова, 4, корп. 1, метро «Академическая», метро «Университет»

Режим работы: Ежедневно с 10:00 до 21:00
ООО КФС «ДЕНТАЛ СИТИ ГРУПП»
7734001748
ИМЕЮТСЯ ПРОТИВОПОКАЗАНИЯ, НЕОБХОДИМА КОНСУЛЬТАЦИЯ СПЕЦИАЛИСТА
Все права защищены. Обращаем ваше внимание на то, что данный Интернет-сайт носит исключительно информационный характер и ни при каких условиях не является пбличной офертой, определяемой положениями Статьи 37 Гражданского кодекса РФ.
Лицензия на осуществление медицинской деятельности Л041-01137-77/00306522 от 06.06.2016
Made on
Tilda